Ngày nay, phẫu thuật tăng chiều cao bằng cách kéo dài xương chân đã được sử dụng rộng rãi. Nó đem lại kết quả tốt cho người có các dị tật về chân làm ảnh hưởng đến 2 chân có chiều cao bị chênh lệch hoặc những người có chiều cao khiêm tốn. Trước khi bạn có ý định phẫu thuật tăng chiều cao thì cần hỏi ý kiến của bác sĩ chuyên khoa trong lĩnh vực cơ xương khớp sau đó mới tiến hành phẫu thuật. Hãy cũng Trùm Review tìm hiểu về vấn đề này để hiểu rõ hơn nhé!
Phẫu thuật tăng chiều cao là gì?
Phẫu thuật tăng chiều cao bằng cách kéo chân được xem như là một cuộc phẫu thuật không phức tạp. Phẫu thuật được thực hiện với mục đích làm hai chân có chiều dài tăng lên dựa vào việc cơ thể có khả năng tái tạo xương mới.
Theo lời khuyên từ những bác sĩ, phẫu thuật tăng chiều cao lên 16cm, trong đó việc kéo dài cẳng chân lên được 8 – 8.5cm, sau khi phẫu thuật hoàn thành sẽ phụ thuộc vào tình trạng và yêu cầu của người bệnh có thể thực hiện tiếp kéo dài xương đùi với chiều dài tối đa khoảng 8cm.
Xem xét tình trạng của người bệnh diễn biến thế nào để bác sĩ quyết định chiều dài chân nên phẫu thuật và cân nhắc phẫu thuật mấy lần nên thực hiện để đảm bảo sự an toàn cho sức khỏe ở người bệnh. Bạn cũng nên chuẩn bị sẵn tâm lý trước và sau khi phẫu thuật có thể để lại biến chứng.

Tại sao cần phẫu thuật để tăng chiều cao?
Phẫu thuật tăng chiều cao ở Việt Nam đã xuất hiện từ những năm trước đây nhưng chủ yếu là chữa trị những di chứng bởi chiến tranh hay tai nạn lao động. Sau đó đã dần dần phát triển và đã trở thành phương pháp làm đẹp, hỗ trợ chiều cao cho các bạn thấp bé, nhỏ con.
Chiều cao đã phát triển liên tục lúc bạn còn trong bụng mẹ cho đến khi khoảng năm 20 tuổi. Bởi vì nhiều lý do khác nhau, một số bạn đã hơn 20 tuổi nhưng sở hữu chiều cao không tốt. Đây là nguyên nhân làm bạn tự ti và khó có thể tiếp xúc được người khác hay bỏ lỡ mất cơ hội tốt trong công việc cũng như cuộc sống.
Vào thời điểm này thì những cách tăng chiều cao tự nhiên đều không còn hữu ích bởi sụn tăng trưởng nằm trong 2 đầu xương đã phát triển và cốt hóa biến thành xương, khả năng tăng chiều cao bị hạn chế và không còn nữa. Phẫu thuật nâng chiều cao là phương pháp duy nhất để chiều cao cải thiện.
Những điều kiện cần khi phẫu thuật kéo chân tăng chiều cao
Phẫu thuật tăng chiều cao cần được tiến hành bởi bác sĩ có kinh nghiệm trong khoa chấn thương chỉnh hình tại những cơ sở y tế được công nhận và cấp phép.
Bệnh nhân có thể tiến hành phẫu thuật khi đủ những yêu cầu dưới đây:
- Độ tuổi: Nếu bạn đang trong độ tuổi từ 18 đến 35 tuổi là là thời điểm thích hợp nhất nhất để làm phẫu thuật kéo dài chân tăng chiều cao.
- Tình trạng cơ thể: phẫu thuật tăng chiều cao thường được tiến hành cho người bình thường sở hữu chiều cao khiêm tốn, những bệnh nhân có dị tật bẩm sinh, bệnh lý về xương khớp.
Quá trình phẫu thuật nâng chiều cao như thế nào?
Quá trình phẫu thuật tăng chiều cao bằng cách kéo dài chân được thực hiện theo từng bước như:
Bước 1: Bác sĩ sẽ xem xét và khám tổng quát tình trạng cơ thể
Bác sĩ sẽ xem xét tình trạng xương hiện tại của bạn, làm những xét nghiệm cần thiết để đảm bảo an toàn. Bên cạnh đó, trao đổi về những bước trong quá trình phẫu thuật nâng chiều cao cho người bệnh và thời gian để phục hồi dự kiến sau phẫu thuật.

Bước 2: Thực hiện gây mê trước khi tiến hành phẫu thuật
Bác sĩ sẽ làm gây mê hay gây tê tùy vào quy trình phẫu thuật và cũng là bước không thể bỏ qua trước khi tiến hành phẫu thuật, sẽ làm bạn không có cảm giác hay làm giảm đau đớn và căng thẳng cho bệnh nhân trong khi thực hiện phẫu thuật tăng chiều cao.
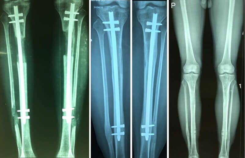
Bước 3: Bác sĩ bắt đầu đóng đinh
Sau khi làm gây mê hay gây tê, bác sĩ sẽ thực hiện rạch một đường ở da cỡ 2cm dọc theo mặt trước gân bánh chè. Sau đó, bắt đầu thực hiện khoan ống vào tủy xương chày và cho một chiếc đinh vào có độ dài ngắn hơn độ dài của xương chày cỡ 4-6cm. Tiếp theo, bác sĩ sẽ rạch da dài 1cm ngay phần cẳng chân trên để đặt dụng cụ định vị, bắt hai vít chốt ngay đầu trung tâm.
Bước 4: Lắp khung cố định nơi cẳng chân
Đặt thiết bị để cố định được vào cẳng chân ở vị trí trên đầu xương chày và đầu dưới xương chày.
Bước 5: Bắt đầu cắt xương
Xương mác và xương chày sẽ được bác sĩ tiến hành cắt ra nhằm tách đôi những xương này ra, làm thành lỗ hở để phát triển xương. Sau đó xương sẽ có chiều dài tăng lên. Quá trình này cần thực hiện vô cùng cẩn thận để không gặp tình trạng bị vỡ xương. Những tổ chức mạch máu bao quanh được an toàn, giúp thời gian hồi phục được rút ngắn và đau đớn giảm.
Bước 6: Hoàn thành và vết mổ được xử lý cẩn thận
Bác sĩ sẽ thực hiện xử lý vết mổ sau khi thực hiện cắt xương không. Sau đó, vệ sinh sạch sẽ vết mổ và dùng những loại thuốc giảm đau thích hợp để hỗ trợ bệnh nhân cảm thấy dễ chịu hơn sau phẫu thuật.

Phẫu thuật kéo dài chân có an toàn không?
Phẫu thuật kéo dài chân không phức tạp và đã trải qua hàng trăm năm phát triển, được cải tiến và hoàn thiện rất nhiều. Hiện nay, hầu hết các ca phẫu thuật kéo dài chi đều được thực hiện một cách an toàn và mang lại hiệu quả cao.
Tuy vậy, như bất kỳ phẫu thuật nào khác cũng tồn tại một số rủi ro và có thể gặp biến chứng. Trước khi quyết định thực hiện phẫu thuật kéo dài chân, việc của bạn là nghiên cứu kỹ lưỡng và tìm hiểu đầy đủ thông tin.
Kỹ thuật kéo dài chân cần được thực hiện bởi bác sĩ chuyên khoa chấn thương chỉnh hình tại các cơ sở y tế được cấp phép. Do đó, bạn nên lựa chọn một cơ sở y tế uy tín và đáng tin cậy để thực hiện kỹ thuật này.
Xem thêm: Thuốc tăng chiều cao Taller Max hỗ trợ phát triển chiều cao
Sau khi phẫu thuật có để lại biến chứng không?
Mặc dù phẫu thuật giúp tăng chiều cao đa phần mang lại hiệu quả, nhưng sẽ có một số trường hợp bệnh nhân có thể gặp phải với những biến chứng như sau:
Quá trình xương hồi phục quá nhanh
Về lý thuyết, xương có thể phát triển thêm khoảng 1mm mỗi ngày nhưng ở một số bệnh nhân xương phục hồi nhanh trước khi điều trị kết thúc. Điều này gây ra vấn đề và khó khăn trong việc điều chỉnh chiều dài xương cần thiết.
Chính vì thế, người chữa trị cần điều trị và theo dõi tình trạng của bệnh nhân trong quá trình phục hồi xương. Bên cạnh đó, thực hiện một số biện pháp can thiệp để tránh tình trạng xương phục hồi quá nhanh sau khi phẫu thuật tăng chiều cao.
Xương hồi phục quá chậm
Một số bệnh nhân thừa cân, béo phì, hút thuốc lá… có thể bị chậm quá trình phục hồi xương trong quá trình phẫu thuật kéo dài xương. Điều này khiến quá trình tái tạo mô mềm, mạch máu và các cơ, dây thần kinh ngoại vi khác lâu hơn.
Trong trường hợp này, bác sĩ sẽ điều chỉnh dụng cụ cố định xương để rút ngắn khoảng cách khe hở xương cho phù hợp với thời gian hồi phục. Chèn thêm những mô xương vào khoảng hở làm đẩy nhanh quá trình nối liền, hồi phục ở xương.

Trong thời gian xương dài ra nhưng mô mềm không co giãn
Mô mềm không co giãn là một trong những biến chứng hay gặp sau quá trình phẫu thuật tăng chiều cao. Những mô mềm đó không thể co giãn một cách linh động theo quá trình dài ra ở xương, gây ra triệu chứng co cứng.
Khi gặp trường hợp này, tùy thuộc vào tình trạng nhất định ở người bệnh bác sĩ có thể sử dụng những bài tập vật lý trị liệu làm tăng độ co giãn ở những mô mềm hay thực hiện phẫu thuật hỗ trợ giảm áp lực cho gân, cơ, dây chằng và những dây thần kinh bên trong cơ thể.
Chi phí phẫu thuật tăng chiều cao là bao nhiêu?
Chi phí phẫu thuật kéo dài chân bao gồm nhiều khoản phí như phí khám, xét nghiệm trước phẫu thuật, phí phòng mổ,… Bên cạnh chi phí phẫu thuật, người bệnh còn phải chi trả một số khoản phí khác sau phẫu thuật, còn được gọi là viện phí.
Hiện tại, không có con số chính xác nào về chi phí phẫu thuật kéo dài chân được công bố. Tuy nhiên, chi phí này phụ thuộc vào từng bệnh viện mà quý vị thực hiện phẫu thuật.
Thông thường, chi phí phẫu thuật kéo dài chân tại các viện công hiện chỉ dao động từ 35 đến 40 triệu đồng. Trong khi đó, ở các bệnh viện tư, chi phí phẫu thuật này thường nằm trong khoảng dưới 100 triệu đồng.
Kết luận
Việc can thiệp vào hệ xương luôn đòi hỏi cân nhắc kỹ lưỡng về sức khỏe, tài chính và thời gian hồi phục. Trước khi đưa ra quyết định, bạn nên tham khảo ý kiến bác sĩ chuyên khoa và tìm hiểu đầy đủ thông tin từ nhiều nguồn đáng tin cậy. Đừng để áp lực ngoại hình khiến bạn lựa chọn vội vàng, bởi phẫu thuật tăng chiều cao là một quyết định ảnh hưởng lâu dài đến cơ thể.
















